DYK de #JPO
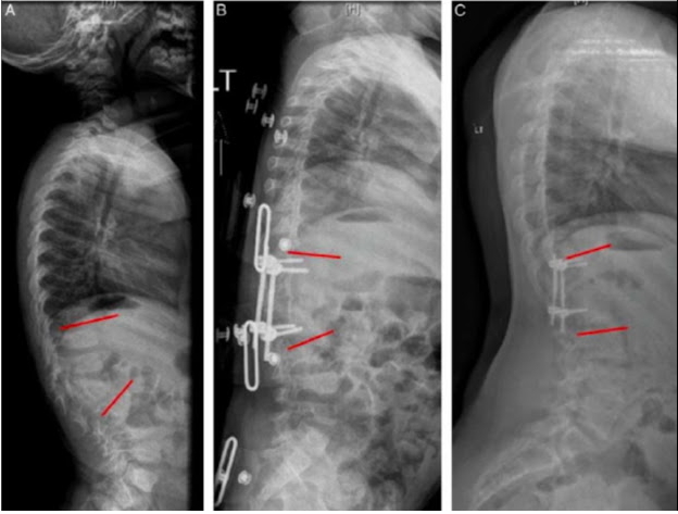
Un nuevo estudio en JPO muestra que la fusión posterior del segmento corto en pacientes muy jóvenes con cifosis congénita puede proporcionar un crecimiento guiado durante años después de la cirugía.
posna #pediatricorthopaedics #congenitalkyphosis #DYKfromJPO
Congenital Kyphosis: Progressive Correction With an Instrume… : Journal of Pediatric Orthopaedics (lww.com)
https://pubmed.ncbi.nlm.nih.gov/33448725/
Rocos B, Lebel DE, Zeller R. Congenital Kyphosis: Progressive Correction With an Instrumented Posterior Epiphysiodesis: A Preliminary Report. J Pediatr Orthop. 2021 Mar 1;41(3):133-137. doi: 10.1097/BPO.0000000000001745. PMID: 33448725.


