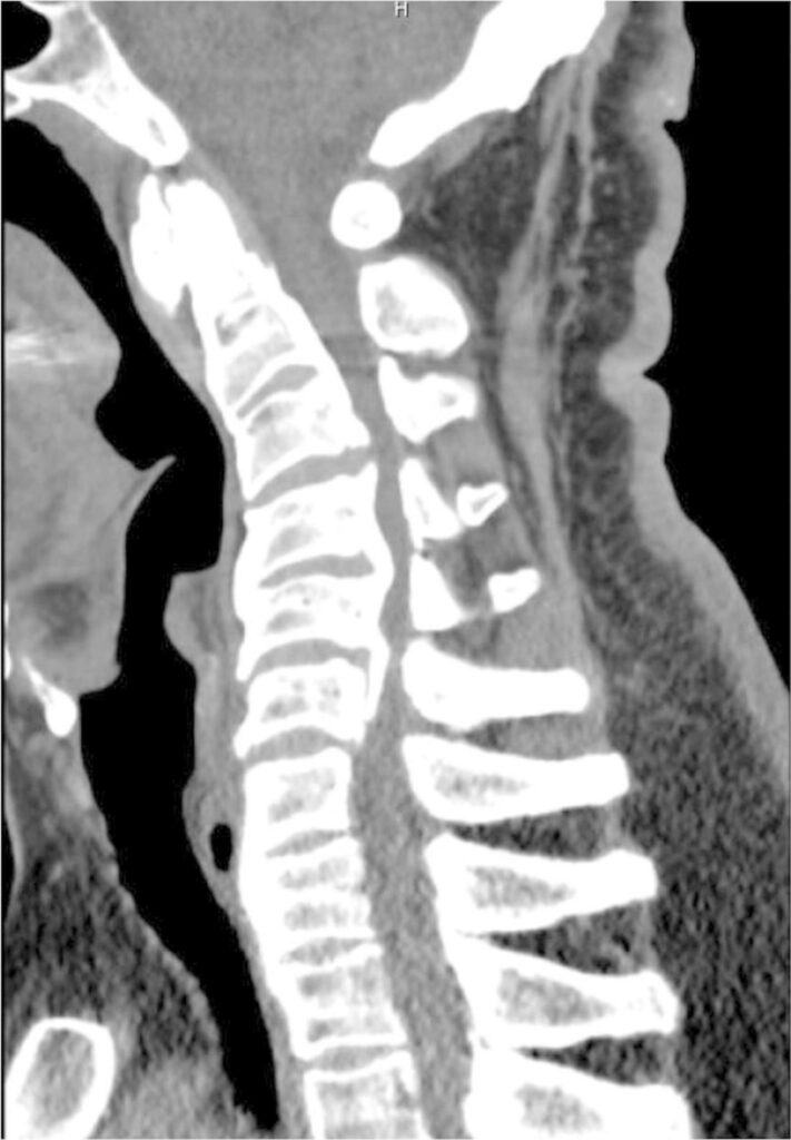
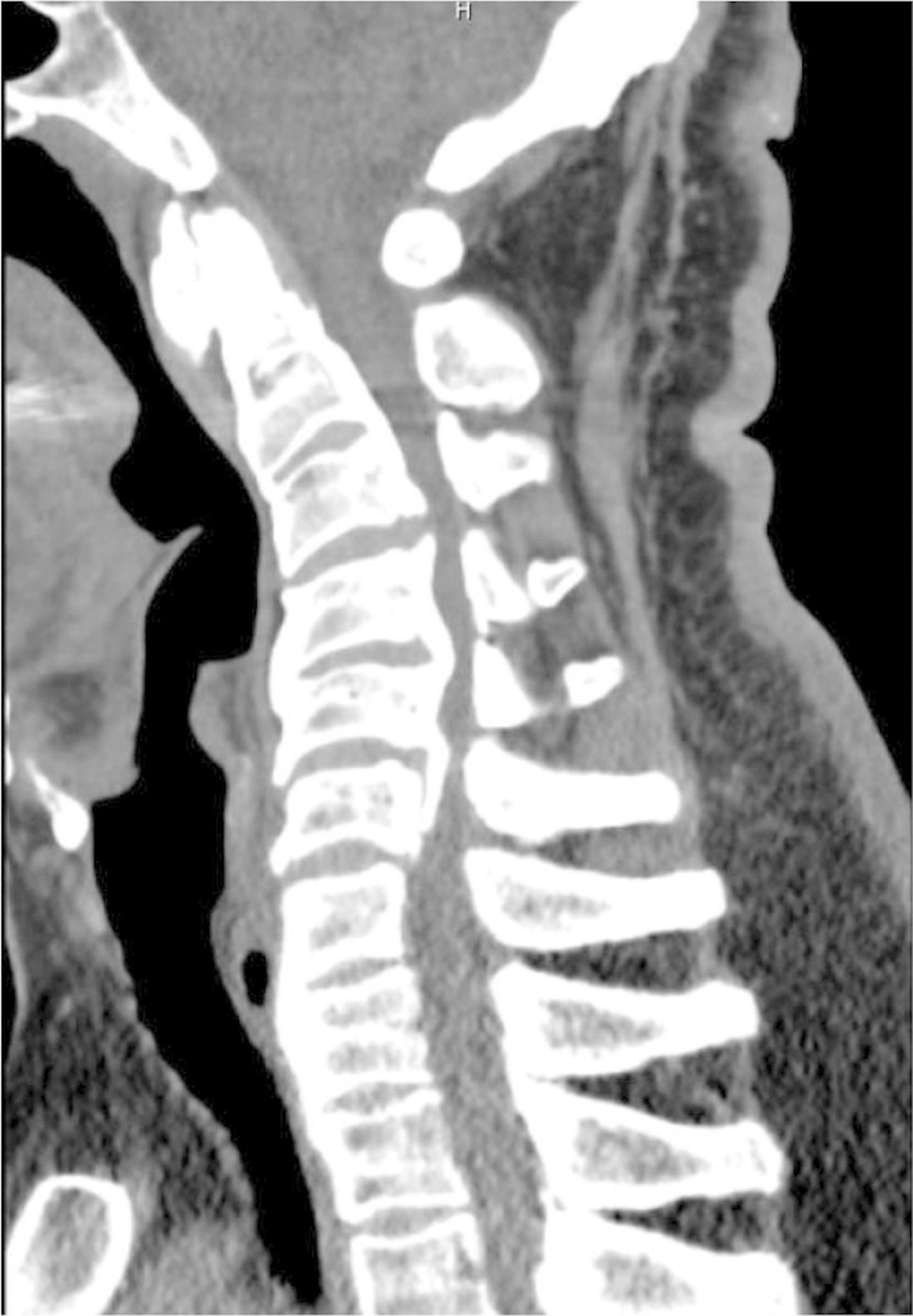
Síndrome del cordón blanco y tetraplejía aguda después de la descompresión cervical posterior: reporte de un caso
Un hombre de 55 años se somete a descompresión cervical posterior e instrumentación por mielopatía cervical progresiva y desarrolla síndrome del cordón blanco (WCS) en el posoperatorio con tetraplejía aguda.
La WCS es una complicación poco común de la cirugía de columna que se cree que se debe a una lesión por reperfusión. Diagnosticamos WCS en nuestro paciente mediante un examen posoperatorio que consistió en tetraplejía aguda y resonancia magnética que reveló un aumento de la señal en el cordón. En este caso, utilizamos dexametasona intravenosa y una presión arterial media superior a 90 mm Hg, lo que dio como resultado un examen clínico notablemente mejorado.
https://pubmed.ncbi.nlm.nih.gov/34115641/
Segal DN, Lunati MP, Kukowski NR, Michael KW. White Cord Syndrome and Acute Tetraplegia After Posterior Cervical Decompression: A Case Report. JBJS Case Connect. 2021 Jun 11;11(2). doi: 10.2106/JBJS.CC.20.00281. PMID: 34115641.
Copyright © 2021 by The Journal of Bone and Joint Surgery, Incorporated.
lesión por reperfusión, cirugía de columna, WCS, tetraplejía aguda, síndrome del cordón blanco, mielopatía cervical progresiva, descompresión cervical posterior,
Dolor escapular en la radiculopatía cervical: Una revisión exploratoria
Introducción:El dolor escapular ha sido tradicionalmente subestimado dentro de la presentación clínica de la radiculopatía cervical, en gran parte por definiciones centradas en el dolor cervical y en la irradiación al miembro superior. Esta revisión de alcance aborda la controversia existente sobre la relación entre el dolor escapular y la radiculopatía cervical, así como su … Leer más
Comparación de los abordajes anterior y posterior para la mejora funcional en la mielopatía cervical: Revisión sistemática y metaanálisis de 33.025 pacientes
NASSJ@NASSJournalTras una revisión sistemática y metaanálisis de 33.025 pacientes que compararon los abordajes anterior y posterior para la mielopatía cervical, Aleid et al. destacan las ventajas del abordaje anterior:@NASSspine#orthotwitter #orthopedics #spine #MedTwitter Comparison of anterior and posterior approaches for functional improvement in cervical myelopathy: A systematic review and meta-analysis of 33,025 patients – North American … Leer más
El consumo de cannabis medicinal y recreativo en pacientes sometidos a una fusión de columna lumbar de uno o dos niveles se correlacionó con los resultados postoperatorios.
NASSJ@NASSJournalKwaczala et al. informan que el consumo de cannabis, tanto en su forma como en su tipo, influye en los resultados reportados por los pacientes, el nivel de dolor y las medidas de éxito quirúrgico tras la fusión de columna lumbar:https://nassopenaccess.org/article/S2666-5484(25)00193-3/fulltext@NASSspine@ElsOrthopaedics #orthotwitter #orthopedics #spine #MedTwitter Medical and recreational cannabis use in patients undergoing one- or … Leer más

