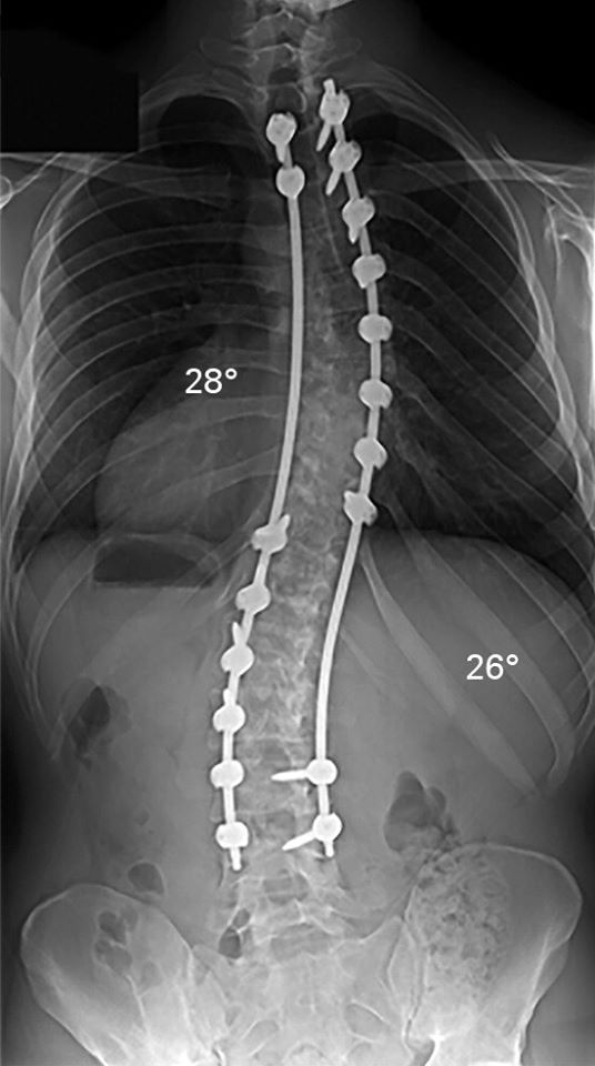
La escoliosis idiopática del adolescente (AIS) es una deformidad 3D compleja de la columna vertebral. Su prevalencia es de entre 2% y 3% en la población general, con casi el 10% de los pacientes que requieren algún tipo de tratamiento y hasta el 0,1% sometidos a cirugía. El aspecto cosmético de la deformidad es la mayor preocupación para el paciente y a menudo se acompaña de angustia psicosocial. Además, las curvas severas pueden causar angustia cardiopulmonar. Con beneficios comprobados de la cirugía, los objetivos del tratamiento son mejorar los resultados cosméticos y funcionales. Obtener la corrección en el plano coronal ya no es el único punto final importante. Con una mejor comprensión de la biomecánica espinal y los efectos a largo plazo del desequilibrio multiplanar, ahora sabemos que el equilibrio sagital es igualmente importante, si no más. Una mejor corrección de las deformidades también ha sido facilitada por una mejora en el diseño de implantes y una mejor comprensión de la metalurgia. Comprender el carácter único de cada deformidad es importante. Además, es importante utilizar el implante más apropiado y aplicar todos los principios de corrección a medida para lograr una corrección óptima. En este artículo, revisamos los conceptos actuales en cirugía AIS.
https://online.boneandjoint.org.uk/doi/full/10.1302/0301-620X.100B4.BJJ-2017-0846.R2
Tambe AD, Panikkar SJ, Millner PA, Tsirikos AI. Current concepts in the surgical management of adolescent idiopathic scoliosis. Bone Joint J. 2018;100-B(4):415–424. doi:10.1302/0301-620X.100B4.BJJ-2017-0846.R2
©2018 The British Editorial Society of Bone & Joint Surgery
Importa los datos de mi consultorio a tu celular en un solo click!!!
Dedicado de tiempo completo a atender los problemas de la Columna Vertebral en Adultos y Niños, es decir Diagnóstico, Prevención y Tratamiento de las Enfermedades de la Columna Vertebral en Adultos y Niños. Ejerciendo este quehacer desde hace 25 años.